Waking Up Soaking Wet? 10 Common Causes of Night Sweats
8. Bone Marrow Disorder or Infection

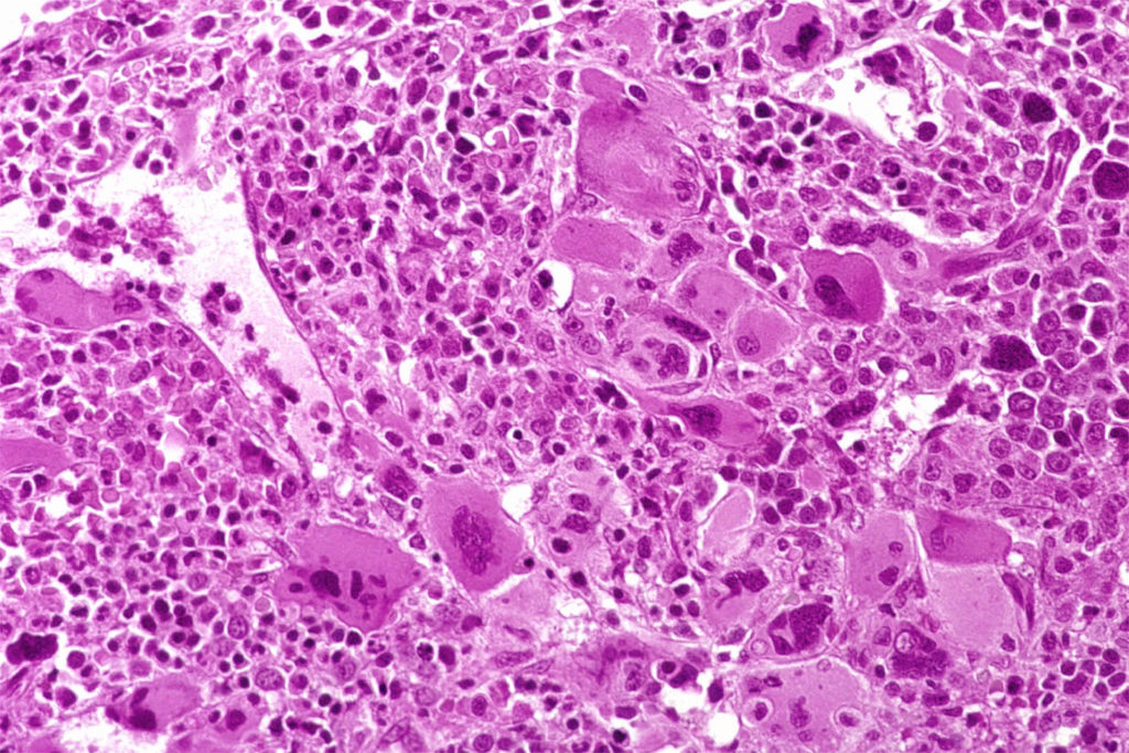
Myelofibrosis is a complication involving abnormal bone marrow growth. A condition linked to night sweats, as well as fever, inflammation and fatigue, this disorder can take a while to pinpoint and diagnose so knowing what to look for is important for treatment and recovery. If you’re over the age of 60, the risk for developing this bone marrow disorder greatly increases.
Myelofibrosis (MF) is a type of chronic cancer which, over time, scars your bone marrow to the point where it’s ability to produce normal cells is impaired. The exact cause of MF is unknown; though a small percentage of people are genetically predisposed to this condition. A popular belief is that abnormal stem cells in your bone marrow mature and aggressively take over, causing inflammation and further abnormal cell growth. Certain mutations within your cells, namely the Jak2 and Calreticulin mutations are known to be precursors to MF.
